Ortodonzia
L’ortodonzia si occupa della diagnosi e trattamento relativi a problemi di sviluppo e posizione di ossa mascellari e denti. Il fattore tempo, quindi, è determinante: quanto prima si intercettano le problematiche tanto meglio si potrà pianificare la loro risoluzione. Naturalmente ogni paziente ha delle esigenze diverse e di conseguenza gli interventi saranno definiti in relazione al momento di sviluppo e crescita: questo per trattare nei tempi adeguati, evitando cure inutilmente lunghe.
L’ortodonzia svolge quindi un ruolo di prevenzione per i piccoli pazienti, ma non si dedica esclusivamente ad essi… Ormai tanti sono gli adulti che si rivolgono all’ortodontista per problemi di funzione ed estetica. Questo perché le attuali tecniche e i moderni materiali consentono di eseguire cure praticamente a qualsiasi età, con un impatto molto ridotto sulla vita sociale quotidiana.
Ortodonzia del bambino: Secondo la AAO (Associazione Americana degli Ortodontisti, il riferimento standard per l’ortodonzia a livello mondiale) l’età giusta per una prima visita è tra i 4 e i 7 anni.

Questo perché l’ortodontista possa intercettare per tempo problematiche funzionali, di deglutizione, controllare la permuta dei denti, dare consigli sull’alimentazione e instaurare una relazione di fiducia con il piccolo e la famiglia.
Inoltre, per alcuni tipi di malocclusione, è indicato un intervento precoce quando ancora sono presenti dentini da latte, così da poter ricreare le condizioni più adeguate per lo sviluppo futuro del piccolo paziente.
Ortodonzia dell’adulto: Spostare i denti non è “una cosa solo per giovani”: l’ortodonzia non ha età, anche gli adulti possono intraprendere una terapia per risolvere problematiche estetiche e di funzione.

In molti casi lo spostamento dei denti è finalizzato a consentire o ottimizzare altre procedure odontoiatriche: ad esempio l’inserimento di impianti in zone edentule o l’esecuzione di protesi estetiche, quali le faccette, per armonizzare il sorriso.
Le apparecchiature impiegate sono, inoltre, ben tollerate, con impatto visivo minimo o praticamente nullo e molto efficienti. Tanto che, in alcuni casi, i trattamenti possono essere completati in meno di un anno.
Ortodonzia invisibile: Quando la richiesta estetica è più elevata e ci sono le condizioni cliniche per farlo, possono essere impiegate apparecchiature molto poco visibili, o quasi invisibili.

Si tratta delle mascherine ortodontiche trasparenti o dell’apparecchiatura linguale.
Nel primo caso lo spostamento dei denti viene prima simulato su modelli virtuali 3D che sono quindi stampati tridimensionalmente e su questi si ottengono le mascherine trasparenti. Ognuna delle quali, sostituita ad intervalli di circa quattordici giorni, consente il progressivo movimento dentale.
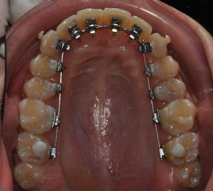
Nel caso della terapia linguale, invece, l’apparecchio viene posizionato sulla superficie interna dei denti.

Anche in questa metodica si sfrutta la tecnologia digitale: gli attacchi, che compongono l’apparecchiatura, vengono prima collocati su modelli virtuali 3D e poi trasferiti sulla dentatura del paziente.
Gnatologia: Si occupa di diagnosticare e curare le problematiche a carico delle ATM (Articolazioni Temporo-Mandibolari). Queste sono costituite da un insieme di tessuti fibrosi e ossei incapsulati, la cui funzione è di consentire i movimenti della mandibola nei tre piani dello spazio.

Quando si verificano dei dislocamenti strutturali e/o infiammazioni, i sintomi che possono riscontrarsi vanno dal dolore alle articolazioni anche in fase di masticazione, esteso alla zona auricolare, apertura limitata della bocca, click, schiocchi o crepitii articolari durante i movimenti mandibolari.
Le cause possono essere diverse: traumi, la posizione scorretta della mandibola per problemi di malocclusione o l’insorgenza di artrite.
La soluzione dovrà essere attentamente valutata raccogliendo dati anamnestici, clinici e radiografici in modo tale da formulare una corretta diagnosi e intervenire con una terapia adeguata.

