Laser
Il laser è uno strumento dalle diverse applicazioni cliniche: lo si impiega in particolare nelle quotidiane procedure di chirurgia muco-gengivale, perché consente un’ottima precisione di taglio, minor dolore intra e post operatorio e tempi di guarigione più rapidi.
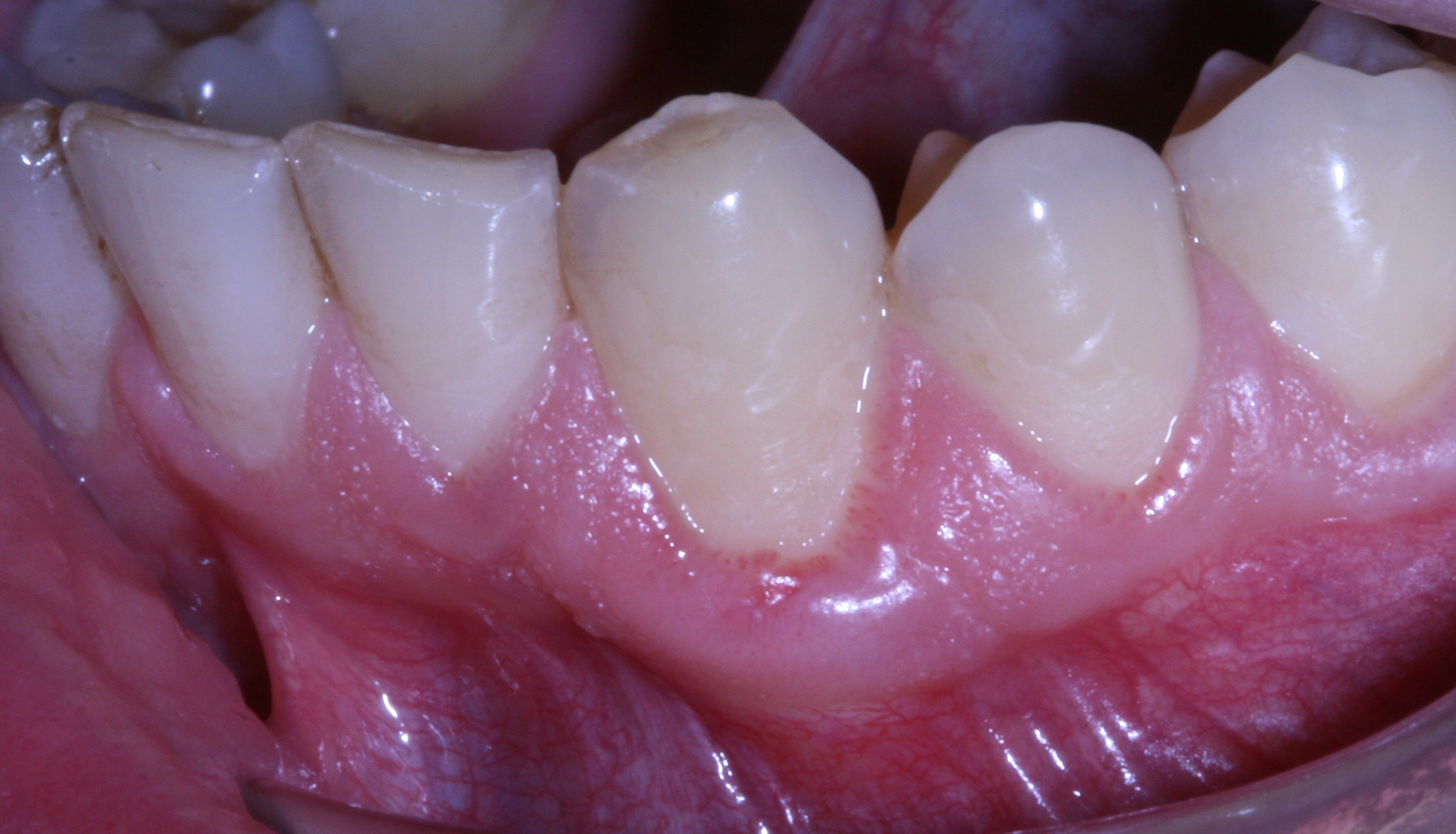
Lesione iniziale
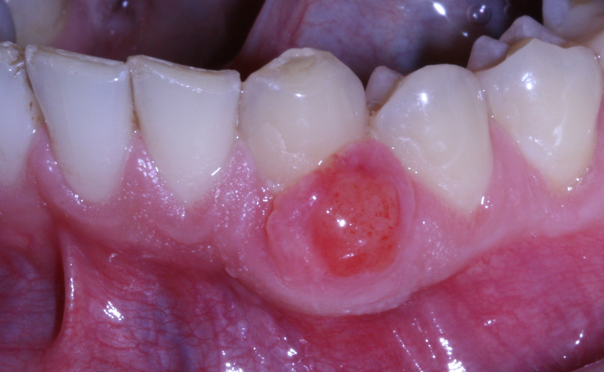
Guarigione della gengiva dopo 7 giorni 
Tuttavia, con le nuove tecnologie, sfruttando diverse frequenze, energie e potenze del fascio laser, trova impiego anche nello sbiancamento dentale o nella terapia dolorifica delle ATM (Articolazioni Temporo-Mandibolari).
Per lo sbiancamento dentale i vantaggi sono legati all’ottima preservazione dello smalto e ai tempi clinici di applicazione più brevi, in quanto il gel sbiancante posizionato sui denti viene maggiormente attivato dalla luce laser.
Grazie, invece, alla metodica LLLT (Low Level Laser Therapy) si può sfruttare l’irraggiamento laser a bassa potenza per incrementare i processi di riparazione e difesa tissutale e ridurre l’intensità e la durata del dolore miofacciale e delle ATM.

